Our Results

Before & After

Discover real smile transformations from braces, whitening, veneers, root canal treatment and restorative dental care.

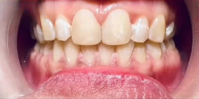
Before - Dental RestorationBefore
After - Dental RestorationAfter

Dental Restoration

Before - WhiteningBefore
After - WhiteningAfter

Whitening

Before - Conventional BracesBefore
After - Conventional BracesAfter

Conventional Braces

Before - BridgeBefore
After - BridgeAfter

Bridge

Before - Root Canal TreatmentBefore
After - Root Canal TreatmentAfter

Root Canal Treatment

Before - VeneerBefore
After - VeneerAfter

Veneer

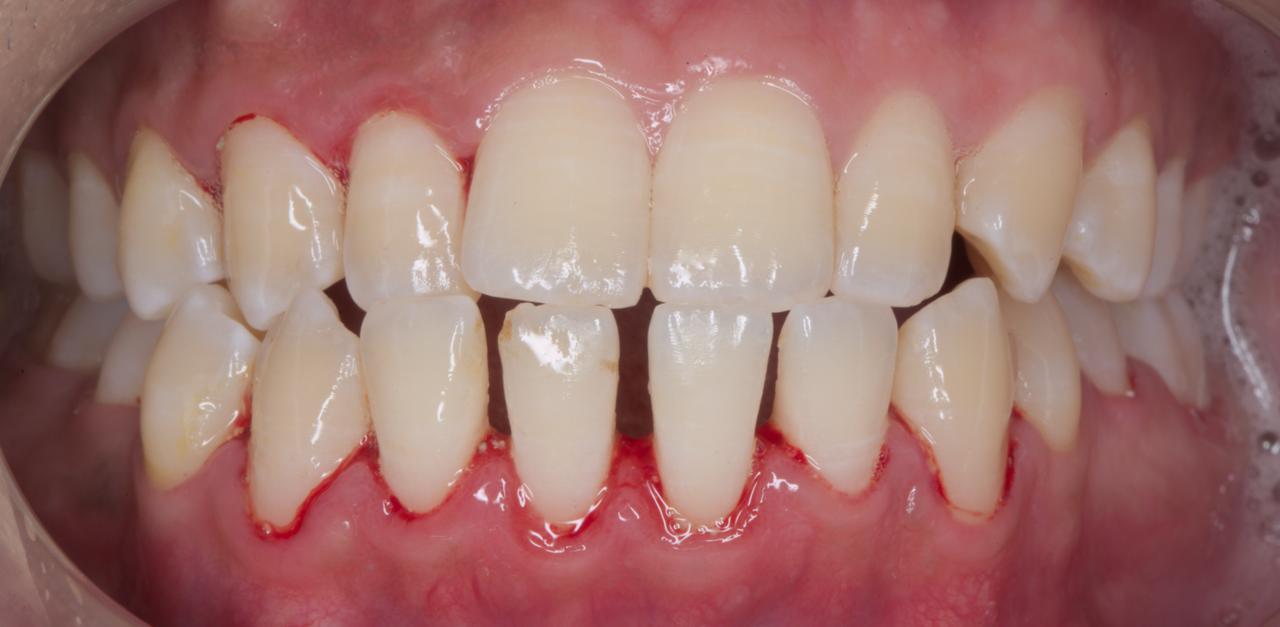
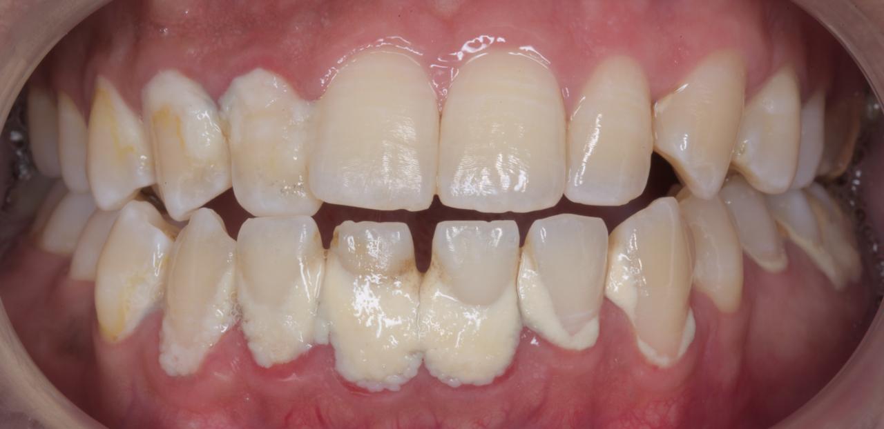
Before - Scaling & PolishingBefore
After - Scaling & PolishingAfter

Scaling & Polishing

Dentabay

Dentabay help patients to transform their smiles and feel confident every step of the way - with expert care and advanced technology

Get In Touch

+60 11-5503 2142

Our Locations

  • Dentabay Shah Alam
  • Dentabay Bangi
  • Dentabay Kota Warisan
  • Dentabay Setapak
  • Dentabay Taman Tun Dr Ismail
  • Dentabay Ipoh
  • Dentabay Seberang Jaya
  • Dentabay Krystal Point
  • Dentabay Georgetown
  • Dentabay Butterworth
  • Dentabay Bertam
  • Dentabay Jitra

Copyright © 2019 Dentabay